Suspendisse interdum consectetur libero id. Fermentum leo vel orci porta non. Euismod viverra nibh cras pulvinar suspen.
The liver, a major organ, in the body performs over 500 vital functions and i
The gallbladder is a pear-shaped organ located right below the liver. The org
The oesophagus or food pipe is a muscular, hollow tube that connects the mout
Stomach cancer or gastric cancer occurs due to abnormal cell growth in the in
Abnormal cancerous growth in the pancreas causespancreatic cancer. The cancer
The urethra is a tube which expels urine out of the body. Abnormal cancerous
Abnormal growth in the kidneys leads to kidney or renal cancer. It is one of
Abnormal and uncontrolled growth of cells in the lungs leads to lung cancer.
Osteosarcoma is a cancer of the bones. It occurs when the cells in the bone b
Ewing’s sarcoma is a rare cancer affecting bones and surrounding soft tissu
When cancerous growth begins to develop in the vagina, it is referred to as Read More
The vulva refers to theRead More
The uterus or womb, a pear-shaped organ, is located in the pelvis between the
Bladder cancer refers to the condition in which the cells in the bladder begi
An uncontrolled cell division in the testicles or testes results in Read More
Lymphoma is a type of blood cancer that develops in the Read More
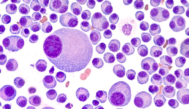
Multiple Myeloma, also called, Kahler’s disease is the development of cance
The pituitary or master gland produces hormones in the body. When cancerous g
Ovaries are two almond-shaped egg-producing female reproductive organs situat
A cervix refers to an opening between the vagina and the womb. A cancerous gr
The breasts are composed of various tissues. These tissues are also connected
Brain cancer or brain tumor is an abnormal cell growth inside the brain. Some
Leukaemia or acute lymphoblastic leukaemia (ALL) affects the blood and bone m
Oral cancer is the second most prevalent cancer in India caused by excessive
Thyroid cancer develops in the thyroid glands. It is more commonly seen in wo
Throat cancer is the most common cancer in India. In this type, the cancerous
Eye cancer can develop in either the eyeball, tissues surrounding the eyeball